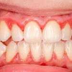
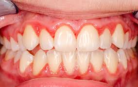
Diş eti çekilmesi (gingival retraksiyon), dişeti dokusunun diş kökü üzerinden geri çekilmesi ile karakterizedir. Hem mekanik hem de biyolojik faktörler bu sürece katkıda bulunur. Aşağıda detaylı şekilde açıklıyorum:
1. Mekanik Faktörler
- Yanlış veya aşırı diş fırçalama
- Sert fırça kullanımı veya yatay fırçalama teknikleri dişetinde travmaya yol açabilir.
- Özellikle dişeti marjininin fazla zorlanması dokunun incelmesine ve çekilmesine sebep olur.
- Diş sıkma ve gıcırdatma (bruksizm)
- Dişlere ve dişetlerine uygulanan anormal basınç, periodontal bağ dokusunun zayıflamasına ve diş eti çekilmesine neden olabilir.
- Diş telleri ve protezler
- Yanlış yerleştirilmiş ortodontik apareyler veya protezler dişeti travmasına yol açabilir.
2. Biyolojik Faktörler
- Periodontal hastalıklar
- Gingivitis ve periodontitis, bakteri plağı ve tartarın neden olduğu kronik inflamasyon sonucu diş eti dokusunun yıkımına yol açar.
- Genetik yatkınlık
- Bazı bireylerde diş eti dokusu daha ince ve hassastır, bu da çekilme riskini artırır.
- Yaşlanma
- Yaşla birlikte dişeti dokusu doğal olarak incelir ve çekilmeye eğilimli hale gelir.
- Hormonal değişiklikler
- Hamilelik, menopoz veya ergenlik dönemlerinde hormon seviyelerindeki değişiklikler dişeti dokusunun hassasiyetini artırabilir.
- Sigara ve tütün kullanımı
- Damar yapısını bozarak dişeti sağlığını olumsuz etkiler ve çekilme riskini artırır.
3. İlerlemeyi Durdurmak ve Önlemek İçin Yöntemler
- Doğru ağız hijyeni
- Yumuşak kıllı fırçalar ve doğru fırçalama teknikleri (dairesel veya yumuşak yukarı-aşağı hareketler).
- Diş ipi veya interdental fırça kullanımı.
- Periodontal tedavi
- Plağın ve tartarın profesyonel temizliği (scaling ve root planing).
- İleri vakalarda cerrahi tedavi (flepler veya greftler).
- Aşırı mekanik travmanın önlenmesi
- Bruksizm için gece plakları kullanımı.
- Yanlış diş fırçalama alışkanlıklarının düzeltilmesi.
- Yaşam tarzı ve risk faktörlerinin yönetimi
- Sigara bırakma.
- Düzenli diş hekimi kontrolleri.
- Rekonstrüktif cerrahi (ilerlemiş vakalar için)
- Serbest gingival greft veya bağ dokusu greftleri ile dişeti kalınlığının artırılması ve çekilmenin geri döndürülmesi.
Özetle, diş eti çekilmesi hem mekanik travma hem de biyolojik faktörlerin kombinasyonu ile oluşur ve tedavisi hem ağız hijyeni ve davranış değişikliği hem de gerekirse profesyonel periodontal müdahaleyi kapsar.
Tabii! Diş eti çekilmesini hem mekanik hem biyolojik açıdan daha detaylı inceleyip, nedenlerini, süreçlerini ve önleme/tedavi yöntemlerini kapsamlı şekilde anlatabilirim. İşte genişletilmiş versiyon:
Diş Eti Çekilmesi: Nedenleri, Mekanizmaları ve Önleme Yöntemler Diş eti çekilmesi (gingival retraksiyon), dişeti dokusunun diş kökünden geri çekilmesiyle karakterizedir. Bu durum yalnızca estetik sorun yaratmakla kalmaz, aynı zamanda diş kökünün açığa çıkması nedeniyle hipersensitivite, çürük riski ve periodontal hastalık progresyonu gibi komplikasyonlara yol açabilir. Çekilmenin oluşumunda hem mekanik hem de biyolojik faktörler rol oynar.
1. Mekanik Faktörler
1.1 Yanlış veya aşırı diş fırçalama
- Sert kıllı diş fırçaları veya yatay fırçalama teknikleri dişeti dokusuna travma oluşturabilir.
- Uzun yıllar boyunca sürekli yanlış fırçalama dişetinde mikro yırtılmalara ve dokunun incelmesine neden olur.
- Özellikle ön dişlerin lingual (dil tarafı) ve vestibüler (dış) yüzeylerinde aşırı baskı, lokalize çekilmeye yol açar.
1.2 Diş sıkma ve gıcırdatma (bruksizm)
- Uyku sırasında veya stres altında dişlerin birbirine sürtünmesi, dişeti dokusunda ve periodontal ligamentte mikrotravmalara neden olur.
- Bu durum dişeti kenarında inflamasyon ve dokunun zamanla geriye çekilmesine katkıda bulunur.
1.3 Yanlış yerleştirilmiş ortodontik apareyler ve protezler
- Ortodontik tellerin veya sabit protezlerin dişeti sınırına baskı yapması dokuda kronik irritasyon oluşturur.
- Özellikle dişeti dokusu ince olan bireylerde uzun süreli basınç, diş eti çekilmesine yol açabilir.
2. Biyolojik Faktörler
2.1 Periodontal hastalıklar
- Diş plakları ve tartar (diş taşı) birikimi, gingivitis ve periodontitise yol açar.
- Gingivitis: Sadece dişetinde inflamasyon vardır, başlangıç aşamasında genellikle çekilme görülmez.
- Periodontitis: Dişeti ve alveolar kemiğin kaybına yol açan ileri inflamasyon, diş eti çekilmesinin en yaygın biyolojik nedenidir.
- Periodontal cep oluşumu ve kemik kaybı, dişetinin diş kökü üzerinden geri çekilmesini kolaylaştırır.
2.2 Genetik yatkınlık
- Bazı bireylerde diş eti dokusu ince ve hassastır; bu kişilerde çekilme riski daha yüksektir.
- Genetik olarak belirlenen bağ dokusu kalitesi, dişeti elastikiyetini ve direnç kapasitesini etkiler.
2.3 Yaşlanma
- Yaş ilerledikçe dişeti dokusu doğal olarak incelir.
- Doku kaybı ve dişeti geri çekilmesi, yaşa bağlı değişikliklerle hızlanabilir.
2.4 Hormonal değişiklikler
- Hamilelik, ergenlik ve menopoz döneminde östrojen ve progesteron düzeylerindeki değişiklikler dişeti vaskülarizasyonunu ve inflamasyon yanıtını etkiler.
- Bu durum dişeti hassasiyetini artırır ve çekilme riskini yükseltir.
2.5 Sigara ve tütün kullanımı
- Nikotin ve diğer kimyasallar dişeti dokusuna giden kan akışını azaltır.
- Dişeti iyileşmesini yavaşlatır ve inflamasyonu artırır; böylece çekilme riski yükselir.
3. Diş Eti Çekilmesinin İlerlemesini Durdurma ve Önleme Yöntemleri
3.1 Doğru ağız hijyeni uygulamaları
- Yumuşak kıllı fırçalar ve dairesel fırçalama teknikleri tercih edilmelidir.
- Diş fırçalama sırasında aşırı basınç uygulanmamalıdır.
- Günlük interdental temizlik (diş ipi veya ara yüz fırçaları) dişeti sağlığını korur.
3.2 Profesyonel periodontal tedavi
- Diş taşlarının ve plakların düzenli olarak temizlenmesi (scaling ve root planing).
- İlerleyen vakalarda periodontal cerrahi, dişeti greftleri ve flep operasyonları uygulanabilir.
3.3 Aşırı mekanik travmanın önlenmesi
- Bruksizm varsa gece plakları kullanımı diş ve dişeti üzerindeki basıncı azaltır.
- Yanlış diş fırçalama alışkanlıkları düzeltilir.
3.4 Yaşam tarzı ve risk faktörlerinin yönetimi
- Sigaranın bırakılması ve sağlıklı beslenme dişeti dokusunun direnç kapasitesini artırır.
- Düzenli diş hekimi kontrolleri ile erken müdahale sağlanır.
3.5 Rekonstrüktif cerrahi
- Serbest gingival greft veya bağ dokusu greftleri ile dişeti kalınlığı artırılır.
- Açığa çıkan diş kökü kapatılarak hem estetik hem fonksiyonel iyileşme sağlanır.
4. Özet ve Sonuç
Diş eti çekilmesi, tek bir faktörün değil mekanik ve biyolojik etkenlerin kombinasyonunun sonucu olarak ortaya çıkar.
- Mekanik faktörler genellikle dışsal travmalar (fırçalama, bruksizm, apareyler) ile ilgilidir.
- Biyolojik faktörler ise inflamasyon, genetik, hormonal değişiklikler ve yaşlanma ile ilişkilidir.
Çekilmenin ilerlemesini durdurmak ve sağlıklı diş etini korumak için:
- Doğru fırçalama ve interdental temizlik,
- Periodontal hastalıkların kontrolü,
- Mekanik travmanın önlenmesi,
- Risk faktörlerinin yönetimi,
- İleri vakalarda cerrahi müdahale uygulanmalıdır.
Düzenli kontrol ve doğru bakım ile diş eti çekilmesi büyük ölçüde önlenebilir veya ilerlemesi durdurulabilir
Günlük Diş Eti Koruma Planı
1. Diş Fırçalama Alışkanlıkları
- Fırça seçimi:
- Yumuşak kıllı diş fırçası kullanın.
- Elektrikli fırçalar, doğru teknikle kullanıldığında daha etkili olabilir.
- Fırçalama tekniği:
- Dişetinden dişe doğru dairesel veya hafif eğimli yukarı-aşağı hareketler yapın.
- Sert yatay hareketlerden kaçının; dişeti dokusunu zedeleyebilir.
- Sıklık:
- Günde en az 2 kez, her seferinde 2-3 dakika fırçalayın.
- Özellikle yemek sonrası, plak birikmesini önlemek için hafif bir fırçalama önerilir.
2. Diş Arası Temizliği
- Diş ipi veya interdental fırçalar:
- Günlük kullanım, plak birikimini ve bakteriyel inflamasyonu azaltır.
- İnce ve hassas diş etlerine uygun ürünler tercih edin.
- Kullanım zamanı:
- Fırçalamadan önce veya sonra, tercihe göre uygulanabilir.
- Özellikle arka dişler ve dişeti marjininin zor ulaşılan bölgeleri ihmal edilmemelidir.
3. Ağız Gargaraları ve Destek Ürünler
- Antiseptik veya florürlü gargaralar, bakteri sayısını azaltarak diş eti sağlığını destekler.
- Doğru kullanım için gargarayı günde 1-2 kez, yemeklerden sonra 30 saniye çalkalayın.
4. Mekanik Travmanın Önlenmesi
- Bruksizm yönetimi:
- Gece plağı kullanımı, diş ve dişeti üzerine binen basıncı azaltır.
- Dikkatli fırçalama:
- Özellikle ön dişlerin lingual ve vestibüler yüzeylerinde aşırı basınçtan kaçının.
5. Düzenli Diş Hekimi Kontrolleri
- 6 ayda bir profesyonel kontrol ve temizliğe gidin.
- Periodontal ceplerin ölçümü ve diş taşlarının temizlenmesi, çekilmenin ilerlemesini durdurur.
6. Yaşam Tarzı ve Risk Yönetimi
- Sigara ve tütün ürünlerinden kaçının
- Kan dolaşımını etkileyerek diş eti sağlığını bozar.
- Sağlıklı beslenme:
- Vitamin C ve D, kalsiyum açısından zengin besinler dişeti dokusunu güçlendirir.
- Şekerli ve asidik yiyeceklerin tüketimini sınırlayın.
- Stres yönetimi:
- Bruksizm ve ağız gerginliği strese bağlı olarak artar. Yoga, meditasyon veya nefes egzersizleri faydalı olabilir.
7. Acil Önlemler ve Gözlem
- Diş etinde kanama, hassasiyet veya kızarıklık gözlemlediğinizde erken müdahale önemlidir.
- Açığa çıkan diş köklerinde hassasiyet artarsa, florürlü jeller veya diş hekimi önerisiyle desensitizer ürünler kullanılabilir.
Özet
Diş eti sağlığını korumak, günlük alışkanlıklarla doğrudan ilgilidir:
- Doğru fırçalama ve diş arası temizliği,
- Düzenli diş hekimi kontrolleri,
- Mekanik travmaların önlenmesi,
- Sağlıklı yaşam tarzı ve beslenme.
Bu plan, diş eti çekilmesini önlemeye ve mevcut dişeti dokusunu korumaya yardımcı olur.
Diş Eti Sağlığı Takip Tablosu
| Günlük / Haftalık Görevler | Pazartesi | Salı | Çarşamba | Perşembe | Cuma | Cumartesi | Pazar | Notlar |
|---|---|---|---|---|---|---|---|---|
| Dişleri sabah fırçalama (2-3 dk) | ☐ | ☐ | ☐ | ☐ | ☐ | ☐ | ☐ | |
| Dişleri akşam fırçalama (2-3 dk) | ☐ | ☐ | ☐ | ☐ | ☐ | ☐ | ☐ | |
| Diş ipi / interdental fırça kullanımı | ☐ | ☐ | ☐ | ☐ | ☐ | ☐ | ☐ | |
| Ağız gargarası (antiseptik / florürlü) | ☐ | ☐ | ☐ | ☐ | ☐ | ☐ | ☐ | |
| Bruksizm için gece plağı kullanımı | ☐ | ☐ | ☐ | ☐ | ☐ | ☐ | ☐ | |
| Şekerli / asidik yiyecek tüketimi kontrolü | ☐ | ☐ | ☐ | ☐ | ☐ | ☐ | ☐ | |
| Diş eti kanaması / hassasiyet kontrolü | ☐ | ☐ | ☐ | ☐ | ☐ | ☐ | ☐ |
Haftalık Kontrol
- Diş taşlarını veya plak birikimini gözlemle
- Ağız kokusu, diş eti kızarıklığı veya çekilme belirtilerini not et
Aylık Kontrol
- Diş eti çizgisinde belirgin değişiklik var mı?
- Diş hekimi randevusu zamanı geldi mi?
- Günlük alışkanlıkların düzenli uygulanıp uygulanmadığını değerlendir
Bu tabloyu basit bir deftere veya telefon uygulamasına kaydederek her gün işaretleyebilirsin. Görsel takip motivasyonu artırır ve diş eti sağlığını korumada sürekliliği sağlar.
- American Academy of Periodontology (AAP) – Gum Recession
- https://www.perio.org/consumer/gum-recession
- Diş eti çekilmesinin nedenleri, önleme ve tedavi yöntemleri hakkında kapsamlı bilgiler.
- Miller PD. “Mucogingival Therapy.” Journal of Periodontology, 1985; 56(2): 95–104.
- Diş eti çekilmesinin mekanik ve biyolojik faktörlerle ilişkisini ve cerrahi tedavi seçeneklerini inceleyen bilimsel makale.
- Carranza FA, Newman MG. “Clinical Periodontology.” 14th Edition, Elsevier, 2021.
- Periodontal hastalıklar, diş eti çekilmesi ve önleme stratejileri konusunda kapsamlı ders kitabı kaynağı.





























































































































