Ağız kokusu (halitozis) hem sosyal hem de sağlık açısından önemli bir sorundur ve birçok farklı nedenden kaynaklanabilir. Bunu iki ana başlıkta incelemek doğru olur: ağız kaynaklı nedenler ve sistemik (vücut genelini ilgilendiren) nedenler.
1. Ağız kaynaklı nedenler
Ağız kokusunun en sık nedenleri, ağız içindeki bakterilerin oluşturduğu kükürt bileşikleridir. Bu bileşikler özellikle dilin arka kısmında, diş aralarında ve diş etlerinde birikmiş bakteriler tarafından üretilir.
Başlıca ağız kaynaklı nedenler:
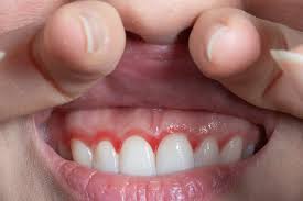
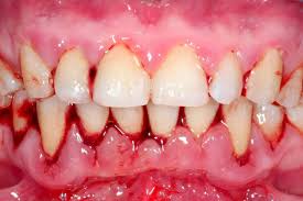
- Diş ve diş eti hastalıkları:
- Periodontitis (diş eti iltihabı)
- Gingivitis (diş eti kanaması ve iltihabı)
Bu durumlar, bakterilerin proteinleri parçalayarak kötü kokulu uçucu sülfür bileşikleri üretmesine yol açar.
- Diş çürükleri ve enfekte dişler:
Çürükler ve apseler kötü koku üreten bakteriler için uygun ortam sağlar. - Dil temizliği eksikliği:
Özellikle dilin arka kısmında biriken bakteriler ve ölü hücreler kötü kokuya neden olur. - Ağız kuruluğu (kserostomi):
Tükürük, ağız içindeki bakterileri temizleyip nötralize eden bir rol oynar. Tükürük azalınca koku artar. - Sigara ve alkol kullanımı:
Bu maddeler hem ağız içi bakterilerini değiştirir hem de ağız kuruluğuna yol açar. - Beslenme:
Sarımsak, soğan ve baharatlı yiyecekler geçici halitozis yaratabilir.
2. Sistemik hastalıklarla ilişkisi
Ağız kokusu sadece ağız sağlığıyla sınırlı değildir; bazı sistemik hastalıklar da kötü nefese yol açabilir. Bu durum genellikle metabolik veya solunumla ilgili bozukluklardan kaynaklanır.
Başlıca sistemik nedenler:
- Solunum sistemi hastalıkları:
- Kronik bronşit, sinüzit, bademcik taşları (tonsillolith)
- Akciğer enfeksiyonları veya apseler
Bu durumlar, ağız ve boğazda bakterilerin çoğalmasına veya irinli akıntı oluşmasına yol açar.
- Gastrointestinal hastalıklar:
- Reflü (GERD)
- Peptik ülser veya Helicobacter pylori enfeksiyonu
Mide asidinin ağıza geri gelmesi veya bakteriyel metabolizma kötü kokuyu tetikleyebilir. Ancak çoğu reflü hastasında tek başına halitozis görülmez; ağız ve boğazda bakteriyel birikim de önemlidir.
- Metabolik hastalıklar:
- Diyabet → ketoasidoz sonucu “meyvemsi” nefes kokusu
- Böbrek yetmezliği → üremik nefes (amonyak kokusu)
- Karaciğer yetmezliği → karakteristik koku (“fetor hepaticus”)
- Endokrin ve diğer sistemik durumlar:
- Tiroid bozuklukları nadiren halitozis yapabilir.
- Bazı vitamin eksiklikleri ve beslenme bozuklukları da ağız kokusunu etkileyebilir.
3. Özet
- %80–90 olguda ağız kaynaklı nedenler (diş eti hastalıkları, dil plakları, ağız kuruluğu) sorumludur.
- Sistemik hastalıklar daha az yaygın ama tanısal önem taşır; nefes kokusunun karakteri bazen hangi organın etkilenmiş olabileceğine işaret eder (örneğin diyabetik ketoasidoz → tatlımsı koku, böbrek yetmezliği → amonyak kokusu).
| Sistemik Hastalık / Durum | Nefes Kokusu Özelliği | Açıklama / Mekanizma |
|---|---|---|
| Diyabet (özellikle ketoasidoz) | Tatlımsı, meyvemsi | Vücut enerji için yağları kullanınca keton cisimleri oluşur; bunlar nefeste algılanır. |
| Böbrek yetmezliği | Amonyak veya idrara benzer koku | Üre birikimi, tükürük ve nefes yoluyla amonyak olarak atılır. |
| Karaciğer yetmezliği | Keskin, küf benzeri, bazen tatlımsı (fetor hepaticus) | Karaciğer detoks işlevini yerine getiremez; uçucu sülfür bileşikleri birikir. |
| Gastroözofageal reflü (GERD) | Asidik, yanma hissi ile beraber | Mideden asidin ağıza geri gelmesi, kötü kokuya ve tahrişe neden olur. |
| Sinüzit / Kronik bronşit / Tonsillolitler | Genellikle kötü kokulu, çürük veya irin gibi | Burun, boğaz ve solunum yollarındaki bakteriyel birikim nefese yansır. |
| Metabolik bozukluklar (ör: trimetilaminüri) | Balık kokusu | Karaciğerin trimetilamin metabolize edememesi sonucu koku oluşur. |
| Vitamin eksikliği / Beslenme bozuklukları | Hafif, genellikle keskin veya metalik | Tükürük kompozisyonu ve ağız florası değişir, kokuya neden olur. |
💡 Not: Sistemik kaynaklı halitozis çoğu zaman tek başına ortaya çıkmaz; ağız hijyeni sorunlarıyla birleştiğinde belirginleşir. Bu nedenle kötü nefesin sürekli ve karakteristik kokusu varsa sistemik hastalık araştırması önemlidir.
ağız kokusunu tespit ve tedavi yöntemleri
| Nedeni / Kaynağı | Tespit Yöntemi | Tedavi / Yönetim |
|---|---|---|
| Diş ve diş eti hastalıkları (periodontitis, gingivitis) | Diş hekimi muayenesi, diş eti ölçümleri, plak indeksi | Düzenli diş temizliği, diş taşı temizliği, antibakteriyel gargara, diş eti tedavisi |
| Diş çürükleri / enfekte dişler | Diş muayenesi, röntgen | Dolgu, kanal tedavisi, gerektiğinde çekim |
| Dil plakları ve yetersiz dil temizliği | Dil yüzeyinde gözle bakıma bağlı plak birikimi | Dil fırçalama, dil kazıyıcı kullanımı, ağız hijyeni eğitimi |
| Ağız kuruluğu (kserostomi) | Tükürük ölçümü, ağız kuruluğu şikayeti | Bol su içmek, şekersiz sakız, yapay tükürük ürünleri, ilaç değişikliği (gerekirse) |
| Sigara / Alkol kaynaklı halitozis | Öykü ve fizik muayene | Sigara ve alkolü azaltma veya bırakma, ağız hijyeni |
| Beslenme kaynaklı (sarımsak, soğan, baharat) | Diyet analizi, geçici koku | Diyet düzenlemesi, ağız yıkama, nane veya maydanoz |
| Gastroözofageal reflü (GERD) | Endoskopi, pH ölçümü, şikayet öyküsü | Proton pompa inhibitörleri, yaşam tarzı değişiklikleri, diyet düzenlemesi |
| Sinüzit / Tonsillolit / Solunum yolu enfeksiyonları | ENT muayenesi, röntgen veya tomografi | Antibiyotik tedavisi, cerrahi (tonsil taşları için), sinüs drenajı |
| Metabolik hastalıklar (diyabet ketoasidoz, böbrek yetmezliği) | Kan glukozu, keton ölçümü, BUN/Creatinin | Diyabet kontrolü, diyaliz veya böbrek destek tedavisi, metabolik bozukluğun yönetimi |
| Karaciğer yetmezliği | Karaciğer fonksiyon testleri, ultrason | Altta yatan hastalığın yönetimi, diyet ve ilaç tedavisi, ileri vakalarda transplantasyon |
💡 Önemli ipucu:
- Ağız kaynaklı halitozis tedaviye daha hızlı yanıt verir.
- Sistemik nedenli halitozis, altta yatan hastalık tedavi edilmeden tamamen düzelmez.
- Düzenli ağız hijyeni ve hekim kontrolü, hem önleyici hem de tedavi edici olarak kritik öneme sahiptir.
1. Ağız Hijyeni
- Dişleri günde en az 2 kez fırçalamak: Özellikle yemeklerden sonra.
- Diş ipi kullanımı: Diş aralarındaki yemek artıklarını temizler.
- Dil temizliği: Dilin arka kısmındaki plaklar kötü kokunun en büyük kaynağıdır.
- Antibakteriyel ağız gargaraları: Kısa süreli koku kontrolü sağlar, özellikle klorheksidin veya çinko içerenler.
2. Tükürük ve Ağız Nemini Artırma
- Bol su içmek ve ağız kuruluğunu önlemek.
- Şekersiz sakız veya şekersiz naneler tükürük akışını artırır.
- Özellikle gece uykusu öncesi ağız kuruluğunu azaltacak ürünler kullanmak.
3. Diyet ve Beslenme
- Sarımsak, soğan gibi güçlü kokulu yiyecekleri sınırlamak veya tükettikten sonra ağız hijyenine dikkat etmek.
- Şekerli gıdalar ve işlenmiş atıştırmalıkları sınırlamak; bakteriler şekerle beslenir.
4. Alışkanlık Değişiklikleri
- Sigara ve alkol tüketimini azaltmak veya bırakmak.
- Düzenli diş hekimi kontrolleri (en az 6 ayda bir).
5. Evde Basit Taktikler
- Gargara olarak tuzlu su veya karbonatlı su kullanımı (geçici rahatlama sağlar).
- Nane, maydanoz veya yeşil çay tüketimi (hafif koku maskesi ve antibakteriyel etki).
- Şekerli sakızlardan kaçınmak; şekersiz tercih etmek.
💡 Ek not: Bu yöntemler ağız kaynaklı halitozisi büyük ölçüde azaltır, fakat sistemik nedenli halitozisi tamamen gidermez. Eğer nefes kokusu sürekli veya karakteristik bir şekilde değişik (örneğin tatlımsı, amonyak gibi) ise, mutlaka hekim kontrolü gerekir.
ağız kokusunu kaynağına göre tespit, tedavi ve günlük önleme yöntemleri
| Kaynak / Neden | Tespit Yöntemi | Tedavi / Profesyonel Müdahale | Evde ve Günlük Önlemler |
|---|---|---|---|
| Diş ve diş eti hastalıkları (periodontitis, gingivitis) | Diş hekimi muayenesi, diş eti ölçümleri | Diş temizliği, diş taşı temizliği, antibakteriyel gargara | Düzenli fırçalama, diş ipi, dil temizliği |
| Diş çürükleri / enfekte dişler | Diş muayenesi, röntgen | Dolgu, kanal tedavisi, gerektiğinde çekim | Yemek sonrası fırçalama, ağız gargarası |
| Dil plakları | Dil yüzey muayenesi | Dil kazıyıcı veya fırça | Günlük dil temizliği, ağız gargarası |
| Ağız kuruluğu (kserostomi) | Tükürük ölçümü, şikayet öyküsü | Tıbbi nedenin tedavisi, yapay tükürük | Bol su içmek, şekersiz sakız, gece ağız nemlendirici ürünler |
| Sigara / Alkol kaynaklı halitozis | Öykü ve muayene | Bırakma veya azaltma | Düzenli ağız hijyeni, sakız veya nane |
| Beslenme kaynaklı (sarımsak, soğan, baharat) | Diyet analizi | Beslenme değişikliği | Diş fırçalama, gargara, nane/maydanoz |
| Gastroözofageal reflü (GERD) | Endoskopi, pH ölçümü | Proton pompa inhibitörleri, yaşam tarzı değişikliği | Yatmadan önce yemek yememek, başı yüksek uyumak |
| Sinüzit / Tonsillolit / Solunum yolu enfeksiyonları | ENT muayenesi, röntgen | Antibiyotik, cerrahi (tonsil taşları) | Burun temizliği, tuzlu su gargarası |
| Metabolik hastalıklar (diyabet, böbrek yetmezliği) | Kan testleri (glukoz, keton, BUN/Creatinin) | Diyabet kontrolü, diyaliz veya metabolik tedavi | Düzenli tıbbi takip, ağız hijyenine dikkat |
| Karaciğer yetmezliği | Karaciğer fonksiyon testleri, ultrason | Altta yatan hastalık tedavisi, gerekirse transplant | Ağız hijyeni, doktor kontrolü |
💡 Özet Notlar:
- Ağız kaynaklı nedenler çoğu halitozisin %80–90’ından sorumludur ve günlük önlemlerle büyük ölçüde kontrol edilebilir.
- Sistemik nedenler tanımlanmalı ve tedavi edilmeden nefes kokusu tamamen geçmez.
- Düzenli ağız bakımı ve hekim kontrolleri, her iki durumda da ilk ve en önemli adımdır.
Kaynak
- Ağız kaynaklı nedenler – Diş çürüğü, diş eti hastalıkları, dil plakları, ağız kuruluğu.
- Beslenme ve alışkanlıklar – Sarımsak, soğan, baharat, sigara, alkol.
- Sistemik / metabolik hastalıklar – Diyabet, böbrek yetmezliği, karaciğer hastalıkları, reflü, solunum yolu enfeksiyonları.











Bir yanıt yazın