Çocuklarda süt dişlerinin erken kaybı, kalıcı dişlerin dizilimini ve çene gelişimini nasıl etkiler?

          Çocuklarda süt dişlerinin erken kaybı, sadece geçici bir kayıp gibi görünse de, çocuğun ağız ve çene sağlığı üzerinde ciddi etkiler yaratabilir. İşte bu etkilerin detaylı açıklaması:


1. Kalıcı Dişlerin Dizilimi Üzerine Etkileri

Süt dişleri, kalıcı dişler için “yer tutucu” görevi görür. Erken kayıplarda:

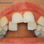
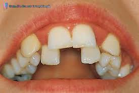
  • Dişlerin kayması: Yanındaki dişler boşluğu kapatmak için kayabilir.
  • Diş sıkışıklığı: Kalıcı dişin çıkacağı yer daralır ve dişler çapraşık çıkar.
  • Ortodontik sorunlar: İlerleyen yaşlarda tel veya diğer ortodontik tedaviler gerekebilir.

Özetle, süt dişlerinin erken kaybı, kalıcı dişlerin düzgün sıralanmasını bozar ve çapraşıklığa yol açabilir.


2. Çene Gelişimi Üzerine Etkileri

Süt dişlerinin erken kaybı, çene gelişimini dolaylı olarak etkiler:

  • Çiğneme fonksiyonunun bozulması: Boşluk nedeniyle çocuk belirli bölgelerde daha az çiğner, çene kaslarının gelişimi dengesiz olur.
  • Yüz ve çene büyümesinde asimetri: Uzun vadede çene kemiklerinin düzgün büyümesi engellenebilir.
  • Alt-üst çene uyumsuzluğu: Boşluklar ve kaymalar çene kapanışını ve üst-alt çene uyumunu bozabilir.

3. Diğer Etkiler

  • Konuşma bozuklukları: Özellikle ön dişlerin kaybı seslerin doğru çıkarılmasını zorlaştırır.
  • Beslenme problemleri: Çocuk katı gıdaları çiğnemekte zorlanabilir.
  • Estetik ve psikolojik etkiler: Öz güven düşebilir, özellikle okul çağında sosyal kaygı oluşabilir.

4. Önleme ve Müdahale

  • Yer tutucu kullanımı: Erken kayıp sonrası diş hekiminin önerdiği “space maintainer” ile boşluk korunur.
  • Düzenli diş kontrolleri: 6 ayda bir kontrol, erken sorunların tespitini sağlar.
  • Ağız hijyeni: Çürük ve travmaya bağlı erken kayıpları önler.

Kısaca özetlemek gerekirse:

Süt dişlerinin erken kaybı, kalıcı dişlerin çapraşık çıkmasına ve çene gelişiminde dengesizliklere yol açabilir. Bu nedenle kayıp sonrası mutlaka diş hekimi müdahalesi gereklidir.

 Hem süt dişlerinin çıkış ve düşme zamanlarını hem de kalıcı dişlerin çıkış zamanlarını ve boşluk korunması gerekliliğini içeren bir tablo hazırlayalım.
Diş Türü Süt Dişi Çıkış Zamanı Süt Dişi Düşme Zamanı Kalıcı Diş Çıkış Zamanı Boşluk Koruma Gerekliliği
Ön kesici (central) 6-12 ay 6-7 yaş 6-7 yaş Evet, özellikle alt çenede önemli
Yan kesici 9-16 ay 7-8 yaş 7-8 yaş Evet
Köpek dişi 16-22 ay 9-12 yaş 9-12 yaş Kesinlikle, çünkü yer kayması sık görülür
1. küçük azı 13-19 ay 9-11 yaş 10-12 yaş Evet, çiğneme fonksiyonu için kritik
2. küçük azı 23-33 ay 10-12 yaş 11-12 yaş Evet
1. büyük azı Yok (süt dişi yok, ilk kalıcı dişler) 6 yaş
2. büyük azı Yok 12 yaş

Notlar:

  • Boşluk koruyucular, süt dişi erken kaybolduğunda kalıcı dişin doğru yere çıkmasını sağlamak için kullanılır.
  • Özellikle köpek ve azı dişleri kayıp sonrası çapraşıklık riskini artırır.
  • Süreler ortalama olup, çocuklar arasında 6-12 ay farklılık gösterebilir.

 Kaynak
  1. American Academy of Pediatric Dentistry (AAPD). Guideline on Management of the Developing Dentition and Occlusion in Children. 2022.
  2. Proffit WR, Fields HW, Sarver DM. Contemporary Orthodontics, 7th Edition. Elsevier, 2021.
  3. Wright JT, et al. Pediatric Dentistry: Infancy through Adolescence, 6th Edition. Elsevier, 2019.

Yorumlar

Bir yanıt yazın

E-posta adresiniz yayınlanmayacak. Gerekli alanlar * ile işaretlenmişlerdir